
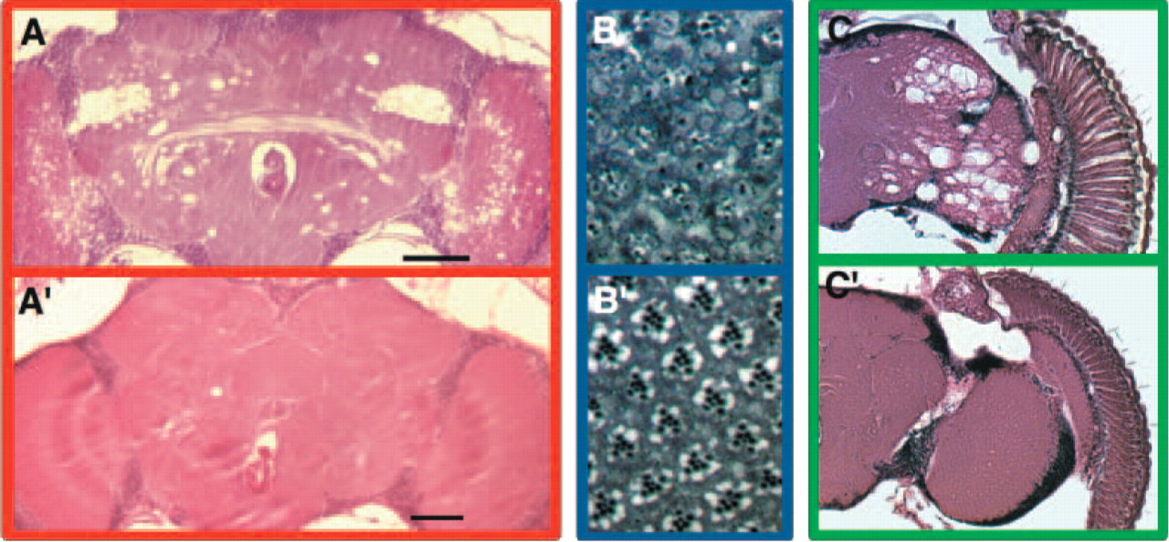
Drosophila neurodegeneration mutants. A. Na+, K+-ATPase subunit alpha mutants were identified in a forward genetic screen enriched by aberrant behavior. Aged ATPalphaDTS1 mutants (top) have severe spongiform-like neurodegeneration resulting in widespread tissue losses throughout the brain of the fly. Aged wild type control animal (A’) never exhibit spongiform neuropathology. B. Polyglutamine (Poly Q) expression causes neural degeneration in the eye of the fly. Transgenic expression of the polyglutamine expanded SCA3-Q78 results in neural degeneration seen in tangential section of the eye (top). This pathology is rescued by also expressing normal SCA-Q27 protein (B’). C. Flies lacking dADAR, the enzyme that performs A-to-I RNA editing, were found to have severe neurodegeneration (top), as compared to age-matched control animals (C’). All panels reprinted with author and publisher permission. (A and A’) Copyright 2003, Society for Neuroscience (27), (B and B’, and C and C’). Copyright 2005 and 2000, Elsevier (52) and (46), respectively.