
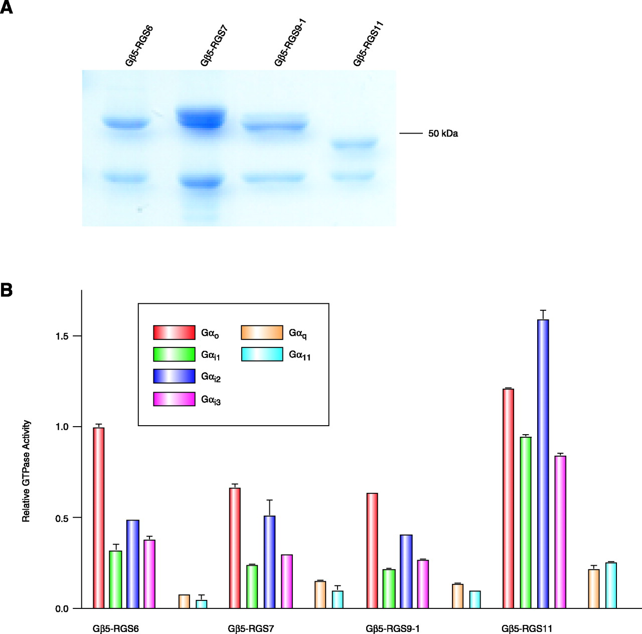
The effects of purified Gβ5–R7 dimers on the GTPase activity of Gi and Gq family Gα subunits. A. Recombinant epitope-tagged Gβ5–R7 dimers were expressed in insect cells and purified; purified products are shown on a coomassie blue-stained SDS-PAGE gel. B. Relative steady-state GTPase activities of various purified Gα subunits reconstituted with receptors in proteoliposomes were determined in the presence of Gβ5–R7 dimers. Gαo, Gαi1, Gαi2, and Gαi3 (with Gβ1γ2) were reconstituted in phospholipid vesicles with the M2 muscarinic receptor, and Gαq and Gα11 (with Gβ1γ2) were reconstituted with the M1 muscarinic receptor (62).