What is the Value of Measuring MTA-1s in Breast Cancer?

  Figure 2.
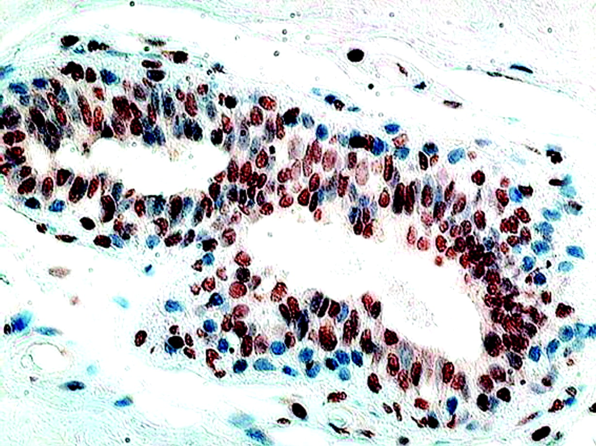
Figure 2.

ERβ expression. (Inset) ERβ is widely expressed in breast cancer, but the clinical significance of this is not clear. This image is an example of invasive ductal cancer of the breast stained with an ERβ -specific polyclonal antibody (Upstate Biotech).

This Article

  1. MI October 2002 vol. 2 no. 6 360-362