
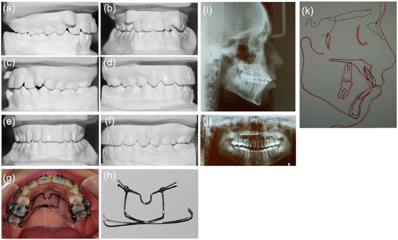
Figure 15.
Patient M.A. 16 years old, with a class I severe crowding problem: (a–f) study models before and after treatment; (g, h) butterfly arch when it is in place and when it is removed, respectively; (i, j) lateral cephalogram when the butterfly arch is in place; and (k) cranial base superimposition shows excellent control of anteroposterior and vertical dimensions during treatment although a little vertical growth is evident.











